New Patients:
Existing Patients:
Fax Number:

Smile Gallery

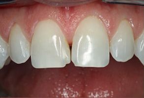
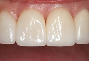
Rahway Family Dental   Orthodontics | Cosmetic Dentistry, Dental Sealants and Ceramic Crowns

Before

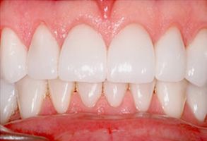
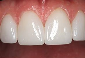
Rahway Family Dental   Orthodontics | Extractions, Implant Dentistry and Veneers

After

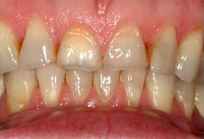
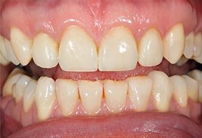
Rahway Family Dental   Orthodontics | Intraoral Camera, Veneers and Snoring Appliances

Before

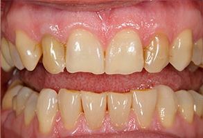
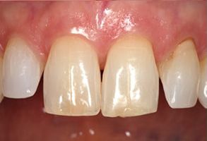
Rahway Family Dental   Orthodontics | Implant Restorations, Periodontal Treatment and All-on-6 reg

After

Rahway Family Dental   Orthodontics | Emergency Treatment, Snoring Appliances and Implant Dentistry

Before

Rahway Family Dental   Orthodontics | Full Mouth Reconstruction, Implant Dentistry and Intraoral Camera

After

Rahway Family Dental   Orthodontics | Night Guards, Oral Exams and Cosmetic Dentistry

Before

Rahway Family Dental   Orthodontics | Veneers, Implant Dentistry and Implant Restorations

After

Rahway Family Dental   Orthodontics | Veneers, Invisalign reg  and Full Mouth Reconstruction

Before

Rahway Family Dental   Orthodontics | Snoring Appliances, Night Guards and Full Mouth Reconstruction

After

Rahway Family Dental   Orthodontics | Dental Sealants, Teeth Whitening and Intraoral Camera

Before

Rahway Family Dental   Orthodontics | Dental Sealants, Ceramic Crowns and Cosmetic Dentistry

After

Rahway Family Dental   Orthodontics | Periodontal Treatment, Cosmetic Dentistry and All-on-4 reg

Before

Rahway Family Dental   Orthodontics | Oral Exams, Invisalign reg  and Full Mouth Reconstruction

After